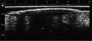
Seborrhoeic wart
Posterior attenuation in the dermis due to prominent entry echo (heavily keratinized tumour).
YΠΕΡΗΧΟΣ ΔΕΡΜΑΤΟΣ
- DERMCUP 25Mhz
- Μελάνωμα
- Βασικοκυτταρικός καρκίνος
- Compound nevus
- Histiocytofibroma
- Seborrhoeic keratosis
- Epidermal cyst
- Sub-epidermal bubble
- Seborrhoeic wart
- Angioma
- Hypertrophic scar
12.08.2010
.............................


O OΜΙΛΟΣ αποτελείται από το Διαγνωστικό κέντρο ΜΕDLAB, To κέντρο Φωτοδυναμικής Θεραπείας και Ιατρικής αισθητικής ΜΕDLAB- MEDISPA και την εταιρία ιατρικών μηχανημάτων και προϊόντων ιατρικής αισθητικής ΜΕDIMAGE

